Written by:

Medically Reviewed by:
Last Updated:
October 13th, 2025
Meth (Crystal Meth) Addiction
When most people hear the word meth, they think of dramatic TV shows or grim reports abroad. It feels distant, almost like something that belongs somewhere else. Yet methamphetamine has found a place in the UK drug scene and the consequences are anything but fictional. Each person drawn in faces the risk of dependence and the brutal effects that follow. To truly understand how meth has taken hold here, we need to look at the scope of its use and how treatment services are responding to the challenge.
What is meth?
Meth’s history begins with amphetamines, which were once prescribed widely for conditions like narcolepsy and ADHD. Methamphetamine is a more potent relative that has made its way out of medical cabinets and into illegal production. In its illicit form, meth often appears as a crystalline substance known as crystal meth, which is smoked, injected or snorted. The appeal lies in the intense euphoria and rush of energy it delivers, but the cost of that rush soon becomes clear.
Once inside the body, meth acts as a powerful stimulant. It speeds up the nervous system, raising heart rate and producing feelings of confidence or, what the user perceives to be, invincibility. For a short while, it can seem like the drug is “unlocking” hidden reserves of energy, yet this very intensity is what sets meth apart as uniquely dangerous. Unlike substances that wear off more gradually, meth leaves the brain struggling to restore balance after the surge.
Understanding what meth is matters because it helps explain why its effects are so consuming. And to see why dependence and addiction develops so quickly, we need to look more closely at the way meth rewires the brain.
Why is meth so addictive?
Meth addiction stems from how the drug manipulates dopamine, the chemical linked with pleasure and learning. Under normal circumstances, dopamine is released when we do something enjoyable or vital for survival. Once released, it’s reabsorbed, letting the brain return to baseline.
Meth changes this system dramatically. Instead of letting dopamine levels rise and fall naturally, meth causes a massive flood of dopamine while also blocking its reabsorption. The result is a signal far stronger than anything produced by everyday experiences, leaving the brain convinced that meth is the most rewarding activity possible.
This intense high fades quickly, replaced by a harsh crash, with fatigue and cravings setting in almost immediately. Over time, tolerance develops, meaning larger amounts of meth are needed to feel the same effect. Without it, dopamine levels plummet, creating painful withdrawal symptoms.
The cycle of chasing highs while trying to escape lows soon becomes all-consuming. The brain, now rewired to prioritise meth above everything else, drives behaviour in ways that can seem unrecognisable to loved ones. To understand how far these changes reach, it’s worth looking at how meth addiction affects everyday life.
Meth in the UK
Methamphetamine has been steadily carving a place within the UK’s drug landscape. Although other substances often dominate headlines, meth has emerged in certain circles with an intensity that is hard to ignore. Reports highlight its presence in chemsex environments, where its stimulant effects are sought after, but its reach extends further as supply chains adapt and expand.
Hundreds of people across England and Wales have engaged with meth use over the past years, and patterns show a gradual increase over the last decade. What might once have felt like isolated cases is now backed by measurable data, making it clear that meth addiction is not an abstract worry but a lived reality for many.
Because demographic patterns are shifting, treatment services are seeing more men in particular reporting methamphetamine use, with a significant number admitting to injecting the drug. That form of use is known to accelerate harm and complicate recovery, which is why the statistics hold real weight. This brings us naturally to the question of how support systems have responded and what treatment looks like for those caught in meth dependence.
Meth addiction treatment and rehabilitation
Treatment admissions reveal just how much meth is beginning to place pressure on the system. In England alone, 615 adults entered treatment for methamphetamine problems in 2022–23, an increase on the year before and nearly five times the number seen a decade earlier. While this may sound like only a slice of the wider addiction picture, the trajectory shows that meth is establishing a foothold that services cannot afford to overlook.
Many of those seeking help for meth addiction present complex needs. Injection use, reported by nearly half of clients in earlier surveys, heightens health risks and makes recovery pathways more demanding. Treatment providers recognise this and have woven meth into their stimulant intervention strategies, ensuring detox and therapy are tailored to the realities of meth dependence.
Rehabilitation centres have also expanded their awareness of meth-specific challenges, offering detox support alongside counselling and holistic programmes. With each passing year, the increase in admissions shows that demand is not only present but growing.
This begs the question: if treatment services are already feeling this pressure, how well-prepared is the country for the continued rise of meth addiction?
What makes meth addiction so dangerous?
When talking about meth, it’s tempting to focus on the obvious damage to health. Weight loss and skin sores are common, but the real danger often plays out in the mind, where meth has the power to distort reality.
Below, we take a look at two of the most infamous symptoms of psychosis that come with meth addiction:
These psychological effects do not always end once the drug wears off. For many, symptoms continue for days or weeks, creating a state that mirrors serious mental illnesses.
The visible damage adds to feelings of shame and can push people further away from support.
These horrifying effects show that meth addiction is not only destructive but also deeply destabilising. The combination of psychological collapse and visible damage makes recovery harder the longer use continues. This is why recognising the signs of meth addiction early is so important, and it is those signs that the next section will explore.
What are the signs of meth addiction?
If you’re using meth or know someone close to you who is, it’s vital to educate yourself on the signs of meth addiction. Being able to pinpoint the signs could be the difference between timely intervention and support versus a spiralling meth addiction. Below we take a look at three common areas meth addiction can affect and focus on the signs and symptoms of each:
- Rapid weight loss, sometimes to the point of looking gaunt.
- Dilated pupils that stay large regardless of lighting.
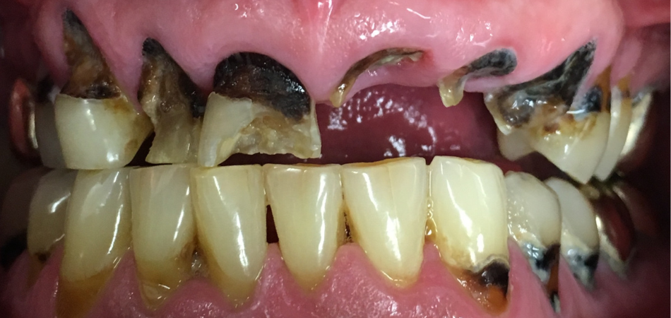
- Dental problems such as broken, stained or missing teeth.
- Skin sores or scabs from constant picking or scratching.
- Unusual bursts of energy followed by long crashes.
- Twitching, tremors or repetitive movements.
- Cravings that dominate thoughts and decision-making.
- Mood swings ranging from euphoria to irritability or despair.
- Paranoia or hallucinations that feel vividly real.
- Anxiety or agitation that lingers even after the drug wears off.
- Loss of interest in hobbies, ambitions or anything unrelated to meth.
- Neglect of daily responsibilities.
- Lying or being secretive about money or whereabouts.
- Stealing money or valuables to fund meth use.
- Spending long periods bingeing on meth followed by extended crashes.
- Withdrawing from non-using friends or family.
Recognising these signs can feel confronting, particularly when they reflect your own behaviour or someone close to you, yet awareness is often the first step toward clarity. From here, asking direct questions can help reveal whether meth has already taken a stronger hold than you realised.
Do I have a meth addiction?
It’s easy to read a list of signs and think they don’t quite apply, especially seeing as addiction of any kind has a way of convincing people that their situation isn’t as bad as it seems. To cut through that denial, asking yourself simple but honest questions can be useful.
Here are six questions to consider:
- Do you crave meth even when you try not to think about it?
- Have you skipped work, school or family responsibilities because of meth use?
- Are you spending money on meth that was meant for essentials?
- Do you keep using meth even though it harms your health or relationships?
- Have you tried to stop but found yourself returning quickly?
- Do large parts of your day revolve around seeking, using or recovering from meth?
If you answered yes to even one of these, it’s worth pausing. Meth addiction rarely stands still, and it tends to deepen if left unaddressed. Knowing where you stand opens the door to the next step, which is learning about the support that’s available.
Is there help available for meth addiction?
Meth addiction can make it feel like there’s no way out, but recovery is possible with the right support. At UKAT, our meth addiction treatment programme usually begins with meth detox, giving the body time to clear itself of the drug in a safe environment. This process can be challenging, as meth withdrawal symptoms often include fatigue and strong cravings, but having professional support makes it far more manageable.
Therapy then becomes the core of treatment. Approaches like cognitive behavioural therapy (CBT), dialectical behaviour therapy (DBT) and group counselling provide a space to understand the roots of addiction and build healthier ways of coping. Alongside these, holistic therapies such as yoga, meditation and art can help reconnect the mind and body, offering new tools for managing stress.
Aftercare is also vital, as recovery doesn’t end when treatment does. Ongoing support through relapse prevention plans and therapy check-ins ensures that progress can be sustained.
If meth has become part of your life, know that it doesn’t need to remain there. Reaching out for help is the first step toward breaking free and finding a healthier, brighter future.
FAQ’s
(Click here to see works cited)
- Yasaei R, Saadabadi A. Methamphetamine. [Updated 2023 May 1]. In: StatPearls [Internet]. Treasure Island (FL): StatPearls Publishing; 2025 Jan-. Available from: https://www.ncbi.nlm.nih.gov/books/NBK535356/
- Lin M, Sambo D, Khoshbouei H. Methamphetamine Regulation of Firing Activity of Dopamine Neurons. J Neurosci. 2016 Oct 5;36(40):10376-10391. doi: 10.1523/JNEUROSCI.1392-16.2016. PMID: 27707972; PMCID: PMC5050330.
- GOV.uk. “United Kingdom Drug Situation 2019: Focal Point Annual Report.” GOV.UK, 31 Mar. 2021, www.gov.uk/government/publications/united-kingdom-drug-situation-focal-point-annual-report/united-kingdom-drug-situation-focal-point-annual-report-2019
- Office for Health Improvement & Disparities. “Adult Substance Misuse Treatment Statistics 2022 to 2023: Report.” GOV.UK, 21 Dec. 2023, www.gov.uk/government/statistics/substance-misuse-treatment-for-adults-statistics-2022-to-2023/adult-substance-misuse-treatment-statistics-2022-to-2023-report
- Rusyniak, Daniel E. “Neurologic Manifestations of Chronic Methamphetamine Abuse.” Neurologic Clinics, vol. 29, no. 3, Aug. 2011, pp. 641–55, https://doi.org/10.1016/j.ncl.2011.05.004






